
Czym jest periodontopatia?
Periodontopatia to ogólne określenie na przewlekłe choroby tkanek przyzębia, które prowadzą do stopniowego uszkodzenia struktur utrzymujących ząb w kości. Obejmuje dziąsła, więzadła przyzębia, cement korzeniowy, a także kość wyrostka zębodołowego. Nieleczona może doprowadzić do rozchwiania, a nawet utraty zębów.
W nowoczesnej klinice stomatolog diagnozuje periodontopatię na podstawie badania jamy ustnej, pomiaru kieszonek przyzębnych, a także zdjęć radiologicznych. Wczesne wykrycie choroby pozwala zahamować jej rozwój i zapobiec poważnym powikłaniom.
PRZECZYTAJ TAKŻE: ROZROST DZIĄSEŁ – JAK SOBIE Z NIM PORADZIĆ?
Przyczyny periodontopatii
Główną przyczyną periodontopatii jest przewlekły stan zapalny wywołany przez bakterie obecne w płytce nazębnej. Niewłaściwa higienizacja sprzyja gromadzeniu się biofilmu bakteryjnego oraz kamienia nazębnego, które podrażniają dziąsła i prowadzą do ich zapalenia.
Do czynników zwiększających ryzyko należą:
- palenie tytoniu,
- cukrzyca,
- predyspozycje genetyczne,
- stres i obniżona odporność,
- nieprawidłowe obciążenie okluzyjne.
Stomatolog w klinice ocenia również ogólny stan zdrowia pacjenta, ponieważ choroby ogólnoustrojowe mogą nasilać przebieg periodontopatii.
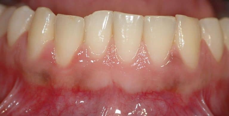
Objawy choroby przyzębia
Początkowe objawy bywają subtelne. Pacjent może zauważyć krwawienie dziąseł podczas szczotkowania lub nitkowania. Z czasem pojawiają się:
- zaczerwienienie i obrzęk dziąseł,
- nieprzyjemny zapach z ust,
- odsłanianie szyjek zębowych,
- nadwrażliwość zębów,
- rozchwianie zębów w zaawansowanym stadium.
W przypadku zaawansowanej choroby może dojść do zaniku kości, co utrudnia późniejsze leczenie protetyczne Kraków oraz planowanie implantów.
Diagnostyka w klinice stomatologicznej
W klinice stomatolog wykonuje szczegółowe badanie przyzębia. Pomiar głębokości kieszonek przyzębnych pozwala określić stopień zaawansowania choroby. Dodatkowo stosuje się zdjęcia RTG, które pokazują poziom kości wokół zębów.
Nowoczesna diagnostyka stomatologiczna Wrocław umożliwia zaplanowanie indywidualnej terapii. Im wcześniej zostanie wdrożony odpowiedni zabieg, tym większa szansa na zatrzymanie postępu choroby.
Leczenie periodontopatii
Leczenie zależy od stadium zaawansowania choroby. W początkowej fazie kluczowa jest profesjonalna higienizacja w klinice, obejmująca skaling i piaskowanie. Zabieg usuwa kamień nazębny oraz bakterie odpowiedzialne za stan zapalny.
W bardziej zaawansowanych przypadkach stomatolog wykonuje kiretaż zamknięty lub otwarty. Procedura polega na oczyszczeniu głębokich kieszonek przyzębnych i wygładzeniu powierzchni korzeni zębów. Ponadto, w niektórych sytuacjach konieczne są zabiegi chirurgiczne regenerujące utraconą tkankę kostną.
Współczesna periodontologia wykorzystuje także laseroterapię, która wspomaga eliminację bakterii i przyspiesza gojenie.
Periodontopatia a implanty
Choroba przyzębia ma bezpośredni wpływ na możliwość wszczepienia implanty Poznań. Aktywna periodontopatia stanowi przeciwwskazanie do implantacji, ponieważ stan zapalny może doprowadzić do niepowodzenia leczenia.
Dlatego przed planowaniem implantów stomatolog w klinice musi ustabilizować stan przyzębia. Dopiero po zakończeniu leczenia i uzyskaniu kontroli nad stanem zapalnym można bezpiecznie przystąpić do dalszych etapów terapii.
Znaczenie higienizacji i profilaktyki
Regularna higienizacja jest kluczowym elementem zapobiegania periodontopatii. Profesjonalne zabiegi wykonywane w klinice pozwalają usunąć złogi nazębne i kontrolować stan dziąseł.
Stomatolog edukuje pacjenta w zakresie prawidłowej techniki szczotkowania, stosowania nici dentystycznej oraz irygatorów. Wizyty kontrolne co 3–6 miesięcy umożliwiają wczesne wykrycie nawrotów choroby i szybkie wdrożenie leczenia.
Podsumowanie
Periodontopatia to poważna choroba przyzębia, która może prowadzić do utraty zębów oraz komplikacji w leczeniu protetycznym i implantologicznym. Ponadto, wczesna diagnostyka w klinice oraz odpowiednio dobrany zabieg pozwalają zahamować postęp choroby i zachować naturalne uzębienie.
Regularna higienizacja, kontrola u stomatologa oraz świadoma profilaktyka stanowią podstawę zdrowia przyzębia. Szybka reakcja na pierwsze objawy zwiększa szanse na skuteczne leczenie i długotrwały efekt terapeutyczny.
POWRÓT DO: SŁOWNIK