
Definicja pojęcia
Furkacja w stomatologii oznacza anatomiczne miejsce rozdzielenia korzeni zęba wielokorzeniowego. Termin ten odnosi się głównie do trzonowców, ponieważ właśnie one posiadają dwa lub trzy korzenie. Furkacja znajduje się poniżej korony zęba, a jednocześnie powyżej wierzchołków korzeni, dlatego ma duże znaczenie kliniczne. Stomatolog musi dokładnie znać jej położenie, ponieważ wpływa ono na diagnostykę, leczenie oraz planowanie dalszych zabiegów w klinika Poznań.
Gdzie występuje furkacja?
Furkacje występują w zębach bocznych, czyli w trzonowcach górnych i dolnych, a czasami także w przedtrzonowcach. W dolnych trzonowcach najczęściej obserwuje się podział na dwa korzenie, natomiast w górnych trzonowcach pojawiają się trzy korzenie. Dlatego mówi się wtedy o furkacji lub o trifurkacji, zależnie od liczby odgałęzień. To zróżnicowanie ma znaczenie, ponieważ wpływa na trudność leczenia i higienizacji.
PRZECZYTAJ TAKŻE: KIESZONKA DZIĄSŁA – JAKIE CHOROBY MOGĄ ZAATAKOWAĆ TWOJE DZIĄSŁA?
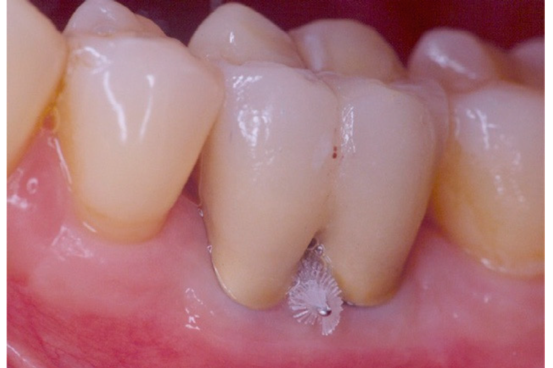
Znaczenie furkacji w praktyce stomatologicznej
Furkacja odgrywa ważną rolę w codziennej pracy, ponieważ stanowi obszar trudny do oczyszczania. Płytka bakteryjna oraz kamień nazębny łatwo gromadzą się w tym miejscu, dlatego nawet prawidłowa higienizacja domowa bywa niewystarczająca. Z tego powodu stomatolog często zaleca regularne zabiegi higienizacji w klinice, aby ograniczyć ryzyko zapalenia dziąseł i przyzębia.
Jeżeli w obrębie furkacji dojdzie do utraty kości, pojawia się tzw. defekt furkacyjny. Taki stan może utrudniać leczenie kanałowe, a także obniżać rokowanie dla zęba. Dlatego wczesna diagnostyka ma kluczowe znaczenie.
Klasyfikacja defektów furkacyjnych
W praktyce klinicznej stomatolog korzysta z podziału defektów furkacyjnych, który pomaga dobrać odpowiedni zabieg:
- Stopień I – niewielkie zajęcie furkacji, bez znacznej utraty kości
- Stopień II – częściowe zajęcie furkacji, bez pełnego przejścia na wylot
- Stopień III – całkowite zajęcie furkacji, z przelotowym ubytkiem kości
Taka klasyfikacja ułatwia decyzję, czy wystarczy leczenie zachowawcze, czy konieczny będzie zabieg chirurgiczny.
Diagnostyka i leczenie furkacji
Stomatolog diagnozuje furkację podczas badania klinicznego oraz na podstawie zdjęć RTG lub tomografii CBCT. Dzięki temu może ocenić zasięg zmian i zaplanować leczenie. W zależności od sytuacji stosuje się higienizację, leczenie periodontologiczne, a czasami zabiegi chirurgiczne. W skrajnych przypadkach usuwa się ząb i rozważa leczenie protetyczne Kraków lub implanty.
Podsumowanie
Furkacja to naturalne miejsce rozdzielenia korzeni zęba, które ma duże znaczenie diagnostyczne i terapeutyczne. Ponieważ obszar ten sprzyja gromadzeniu bakterii, wymaga szczególnej uwagi ze strony pacjenta i lekarza. Regularne wizyty w klinice, prawidłowa higienizacja oraz szybka reakcja stomatologa pozwalają zachować zęby na dłużej i uniknąć zaawansowanych zabiegów.
Powrót do: Słownik