
Czym jest leukoplakia jamy ustnej?
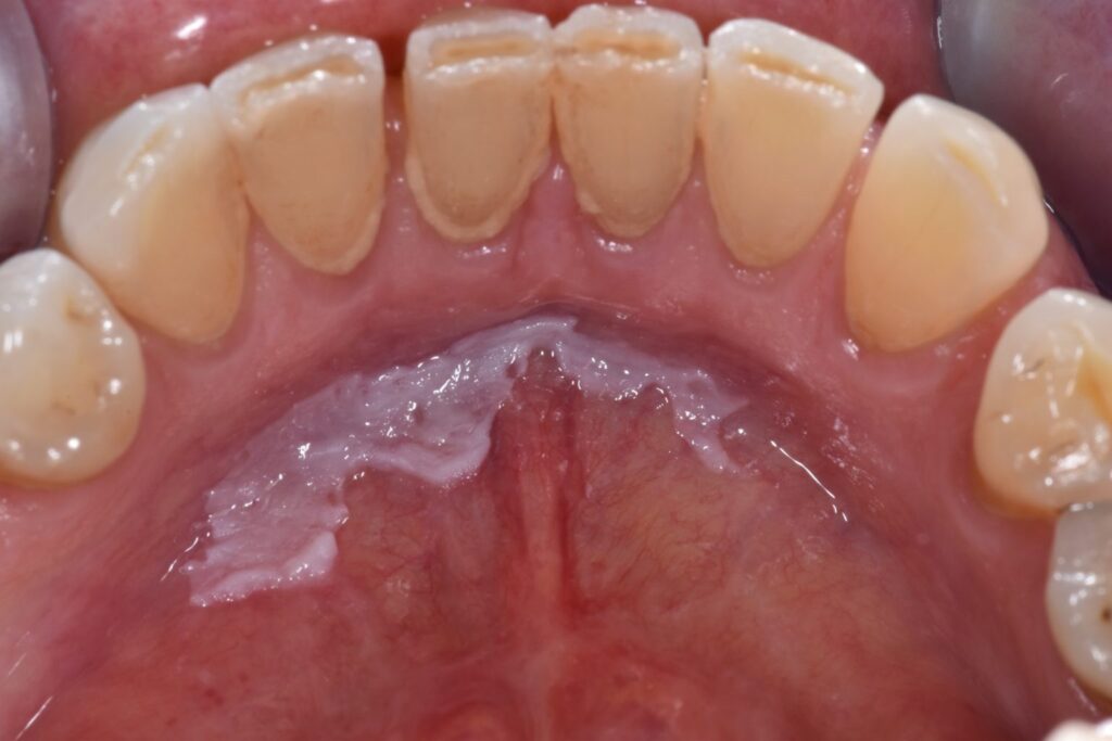
Leukoplakia jamy ustnej to biała zmiana na błonie śluzowej, której nie można usunąć poprzez potarcie i której nie da się zaklasyfikować jako innej choroby. Jest to zmiana potencjalnie przednowotworowa, dlatego wymaga szczególnej uwagi oraz diagnostyki.
Najczęściej pojawia się na błonie śluzowej policzków, języku, dziąsłach lub dnie jamy ustnej.
PRZECZYTAJ TAKŻE: Erytroplazja – co to takiego?
Przyczyny powstawania
Leukoplakia rozwija się najczęściej w wyniku przewlekłego podrażnienia błony śluzowej. Do głównych czynników ryzyka należą:
- palenie tytoniu,
- nadużywanie alkoholu,
- przewlekłe drażnienie mechaniczne (np. ostre krawędzie zębów, źle dopasowane protezy),
- nieprawidłowa higiena jamy ustnej,
- infekcje wirusowe (np. HPV).
W rezultacie dochodzi do zaburzeń rogowacenia nabłonka.
Objawy
Leukoplakia najczęściej objawia się jako biała plama lub płytka na błonie śluzowej.
Charakterystyczne cechy to:
- białe lub szarawe zmiany,
- nierówna, czasem chropowata powierzchnia,
- brak możliwości usunięcia zmiany przez potarcie,
- zwykle brak bólu we wczesnym stadium.
Jednak w bardziej zaawansowanych przypadkach mogą pojawić się nadżerki, pęknięcia lub dolegliwości bólowe.
PRZECZYTAJ TAKŻE: Zęby w jeden dzień u pacjentów bezzębnych – czy to naprawdę możliwe?
Diagnostyka
Rozpoznanie leukoplakii wymaga dokładnego badania stomatologicznego. Ponadto kluczowe znaczenie ma wykluczenie innych zmian o podobnym wyglądzie.
W wielu przypadkach konieczne jest wykonanie biopsji i badania histopatologicznego, które pozwala ocenić, czy doszło do zmian przednowotworowych.
Leczenie
Leczenie leukoplakii polega przede wszystkim na eliminacji czynników ryzyka oraz monitorowaniu zmiany.
W zależności od przypadku stosuje się:
- usunięcie czynników drażniących,
- zaprzestanie palenia tytoniu i ograniczenie alkoholu,
- leczenie chirurgiczne (wycięcie zmiany),
- laseroterapię.
Dzięki temu można zmniejszyć ryzyko przekształcenia zmiany w nowotwór.
Znaczenie kontroli
Leukoplakia wymaga regularnej kontroli stomatologicznej, ponieważ istnieje ryzyko transformacji nowotworowej.
Dlatego też pacjent powinien pozostawać pod stałą opieką specjalisty i zgłaszać się na wizyty kontrolne.
Podsumowanie
Leukoplakia jamy ustnej to biała zmiana o charakterze potencjalnie przednowotworowym, wymagająca dokładnej diagnostyki i obserwacji. Choć często nie daje objawów bólowych, może stanowić zagrożenie dla zdrowia.
Wczesne wykrycie oraz eliminacja czynników ryzyka znacząco zwiększają szanse na skuteczne leczenie i zapobieganie powikłaniom.
POWRÓT DO: SŁOWNIK