
Czym jest cherubizm?
Cherubizm to rzadka, genetycznie uwarunkowana choroba kości twarzoczaszki. Objawia się symetrycznym powiększeniem żuchwy, a czasem także szczęki. Zmiany nadają twarzy charakterystyczny, zaokrąglony wygląd, który przypomina wizerunki aniołów z renesansowych obrazów – stąd nazwa schorzenia.
Choroba ujawnia się zwykle w dzieciństwie. Z czasem może wpływać na ustawienie zębów, rozwój zgryzu oraz funkcjonowanie całego układu stomatognatycznego.
PRZECZYTAJ TAKŻE: Dewitalizacja – co należy wiedzieć i jak jej zapobiegać?
Przyczyny i mechanizm powstawania
Cherubizm wynika z mutacji genetycznej, która zaburza prawidłowy rozwój kości. W efekcie tkanka kostna w obrębie żuchwy zostaje zastąpiona przez tkankę włóknistą.
Zmiany mają charakter postępujący, jednak często stabilizują się po okresie dojrzewania. Dlatego w wielu przypadkach leczenie ma charakter obserwacyjny.
Objawy w obrębie jamy ustnej
Pacjent może doświadczać:
- opóźnionego wyrzynania zębów,
- przemieszczeń zębów,
- zgryzu otwartego lub krzyżowego,
- nadmiernej ruchomości zębów,
- trudności w żuciu.
W zaawansowanych przypadkach dochodzi do znacznych deformacji twarzy. Dlatego wczesna diagnostyka w klinice ma kluczowe znaczenie.
Rola stomatologa i ortodonty
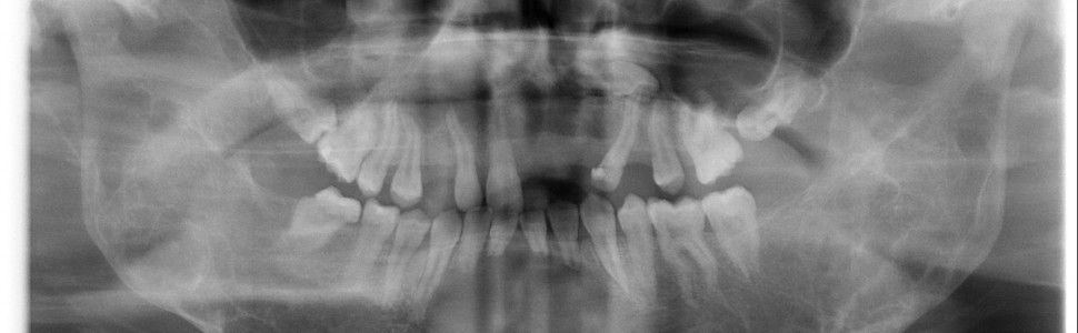
Stomatolog jako pierwszy może zauważyć nieprawidłowości w trakcie rutynowej kontroli. Zdjęcie RTG lub tomografia CBCT Wrocław pozwalają ocenić rozległość zmian kostnych.
Następnie ortodonta planuje postępowanie mające na celu poprawę ustawienia zębów. Leczenie ortodontyczne Kraków bywa jednak trudniejsze niż w standardowych przypadkach, ponieważ struktura kości jest zmieniona.
Czy konieczny jest zabieg chirurgiczny?
W większości przypadków nie wykonuje się radykalnych interwencji w okresie wzrostu dziecka. Lekarze obserwują rozwój zmian.
Jeśli jednak deformacja powoduje poważne problemy funkcjonalne lub estetyczne, chirurg szczękowo-twarzowy może rozważyć zabieg modelowania kości.
Po zakończeniu wzrostu możliwe jest kompleksowe leczenie protetyczne Poznań. W niektórych sytuacjach stosuje się korony, mosty, a nawet implanty, o ile warunki kostne na to pozwalają.
Znaczenie higienizacji i profilaktyki
Pacjenci z cherubizmem wymagają szczególnej kontroli. Zmiany w ustawieniu zębów sprzyjają gromadzeniu płytki bakteryjnej. Dlatego regularna higienizacja w klinice jest niezbędna.
Dodatkowo stomatolog edukuje pacjenta w zakresie prawidłowej techniki szczotkowania i stosowania nici dentystycznej. To zmniejsza ryzyko próchnicy i chorób przyzębia.
Leczenie w wieku dorosłym
Po okresie dojrzewania aktywność choroby często maleje. Wtedy możliwe jest bardziej przewidywalne planowanie leczenia.
W zależności od sytuacji klinicznej stosuje się:
- leczenie ortodontyczne,
- zabieg chirurgiczny korekty kości,
- odbudowy protetyczne, takie jak protezy, korony czy mosty,
- rekonstrukcję z wykorzystaniem implantów.
Każdy przypadek wymaga indywidualnej analizy.
Podsumowanie
Cherubizm to rzadka choroba genetyczna wpływająca na rozwój kości twarzoczaszki i zębów. Wczesna diagnostyka w klinice pozwala kontrolować przebieg schorzenia oraz zaplanować leczenie.
Regularne wizyty u stomatologa, odpowiednia higienizacja i współpraca z ortodontą zwiększają szanse na zachowanie prawidłowej funkcji zgryzu oraz estetyki uśmiechu.
POWRÓT DO: SŁOWNIK