
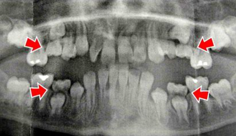
Czym jest ankylozowanie?
Ankylozowanie to stan, w którym ząb trwale łączy się z kością wyrostka zębodołowego. Proces powoduje zanikanie ozębnej i unieruchomienie zęba, co zaburza jego fizjologiczną ruchomość. Najczęściej problem dotyczy zębów mlecznych, jednak może pojawić się również u zębów stałych. Stomatolog Poznań zauważa ankylozowanie najczęściej podczas rutynowej kontroli w klinice, szczególnie jeśli ząb pozostaje w niższej pozycji w stosunku do sąsiednich.
Chociaż dla pacjentów stan ten bywa niezauważalny na początku, konsekwencje mogą obejmować zaburzenia prawidłowego zgryzu oraz przesunięcia sąsiednich zębów. Dlatego wczesna diagnoza jest kluczowa, a odpowiedni zabieg w profesjonalnej klinice stomatologicznej często pozwala uniknąć poważniejszych problemów.
PRZECZYTAJ TAKŻE: ARTYKULATOR – DO CZEGO SŁUŻY?
Przyczyny ankylozowania
Ankylozowanie może mieć różne podłoże. Najczęściej wynika z:
- urazów mechanicznych, np. podczas wypadku lub po replantacji zęba,
- przewlekłych stanów zapalnych przyzębia,
- genetycznych predyspozycji wpływających na rozwój ozębnej.
Dodatkowo zdarza się, że proces rozwija się bez wyraźnej przyczyny. W praktyce stomatolog wykonuje dokładne badanie kliniczne i diagnostyka stomatologiczna Wrocław, aby ocenić stopień zrośnięcia. Właściwa analiza pozwala zaplanować optymalny zabieg, minimalizując ryzyko powikłań i konieczność bardziej skomplikowanego leczenia w przyszłości.
Objawy i konsekwencje
Zęby ankylozowane charakteryzują się brakiem ruchomości, a w przypadku dzieci pozostają w tzw. infrapozycji – są niżej niż pozostałe zęby w łuku. W efekcie mogą prowadzić do:
- nierównomiernego zgryzu,
- przesunięć sąsiednich zębów,
- trudności w utrzymaniu higieny jamy ustnej, co zwiększa ryzyko próchnicy,
- problemów estetycznych i funkcjonalnych.
Stomatolog podkreśla, że w przypadku nieleczonej ankylozy zaburzenia mogą się pogłębiać, dlatego wizyty kontrolne i ocena rozwoju uzębienia w klinika stomatologiczna Kraków są niezbędne.
Leczenie ankylozowania
Postępowanie zależy od wieku pacjenta i rodzaju zęba. U dzieci ząb mleczny często wymaga ekstrakcji, aby nie powstała wada zgryzu. Po zabiegu stomatolog planuje dalsze leczenie ortodontyczne, aby zapewnić prawidłowe ustawienie zębów stałych.
U dorosłych zęby stałe z ankylozą mogą wymagać:
- chirurgicznego usunięcia,
- odbudowy braków przy użyciu implantów lub mostów protetycznych,
- czasami zabiegów ortodontycznych w celu wyrównania zgryzu.
Nowoczesne kliniki stomatologiczne dysponują pełnym zakresem metod – od chirurgii, przez implantologię, po zabiegi odbudowy protetycznej. W przypadku dzieci regularne wizyty kontrolne pozwalają monitorować rozwój łuku i zapobiegać przesunięciom zębów.
Profilaktyka i higienizacja
Chociaż ankylozowanie nie zawsze można przewidzieć, odpowiednia higienizacja jamy ustnej zmniejsza ryzyko powikłań. Stomatolog zaleca:
- systematyczne szczotkowanie i nitkowanie zębów,
- regularne wizyty kontrolne i zabiegi higienizacyjne w klinice,
- monitorowanie stanu przyzębia, szczególnie przy zębach mlecznych i stałych podatnych na urazy.
Wczesne rozpoznanie i właściwa profilaktyka zwiększają szanse na skuteczne leczenie, a w wielu przypadkach pozwalają uniknąć kosztownych i rozległych zabiegów w przyszłości.
Podsumowanie
Ankylozowanie to zrośnięcie zęba z kością, które może prowadzić do problemów estetycznych, funkcjonalnych i ortodontycznych. Wczesna diagnoza przez stomatologa, odpowiednia higienizacja, kontrola w klinice i profesjonalne zabiegi – od ekstrakcji po implanty – pozwalają skutecznie zarządzać tym stanem. Warto regularnie obserwować rozwój uzębienia, aby minimalizować ryzyko powikłań i utrzymać zdrowy oraz estetyczny uśmiech.
POWRÓT DO: SŁOWNIK